Cezanne Dental & Aesthetic Clinic offers expert care in dental, skin, and hair treatments. We combine advanced technology with personalized service to enhance your health and confidence.

Smile Designing in Jaipur | Tailored Dental Aesthetics | Cezanne

Smile Design

A beautiful smile is one of the most attractive qualities a person can have. It conveys confidence, warmth, and positivity, instantly making an impression. However, not everyone is born with a naturally flawless smile, which has led to the rise of smile design. Smile design is an innovative, personalized approach in cosmetic dentistry that combines science and artistry to create a harmonious, beautiful smile.

This comprehensive guide will walk you through what smile design is, its procedures, benefits, different treatment options, and things to consider when opting for a smile design procedure.

Service Image

 

What is Smile Design?

Smile design, also known as smile makeover or digital smile design, is a cosmetic dental process that enhances the aesthetics of a person's smile by aligning it with facial features and individual preferences. Smile design is a blend of various treatments, such as teeth whitening, veneers, orthodontics, and more, customized to improve symmetry, color, shape, and alignment. It combines dental technology and artistry to develop a smile that fits each patient's unique features, expressions, and personality.

Unlike general dental treatments, which focus on oral health and functionality, smile design focuses on the aesthetics and harmony of the smile, taking into account factors like facial proportions, lip line, gum visibility, and the position and shape of teeth. Digital Smile Design (DSD) software is often used in modern practices to visualize and plan the treatment with high precision.

Service Image

 

Key Aspects of Smile Design

Smile design considers numerous factors to achieve a cohesive and attractive smile:

Facial Aesthetics

The overall appearance of the face, including lip shape, facial symmetry, and skin tone, are taken into account to ensure that the smile aligns with the person’s natural features.

Gum Contours and Lip Line:

The visibility of gums and lip positioning when smiling play a vital role in designing an aesthetically pleasing smile. A "gummy smile" or an uneven gum line may be adjusted for better proportions.

Tooth Proportion and Symmetry:

Teeth need to be proportionate in size and shape to each other and the face. The shape and alignment of teeth are adjusted to create a balanced look.

Tooth Color and Texture

Stained or discolored teeth are addressed through whitening, veneers, or other treatments. Teeth color is selected to match the skin tone and enhance the smile’s radiance.

These aspects are carefully evaluated to ensure the final smile design is cohesive, appealing, and naturally fits the individual.

Benefits of Smile Design

Smile design offers numerous benefits beyond just aesthetics:

Enhanced Confidence:

A well-designed smile boosts self-esteem, making individuals feel more comfortable in social and professional settings.

Personalized Treatment:

Smile design is a customized approach, so each individual receives a plan suited to their unique facial structure and dental needs.

Improved Oral Function

Smile design procedures often include restorative treatments that enhance the functionality of the teeth, improving bite and chewing.

Youthful Appearance

A bright, well-aligned smile can make individuals appear younger, as discolored or misaligned teeth often add years to one’s appearance.

Long-lasting Results:

Many smile design treatments, such as veneers and crowns, provide lasting results, allowing individuals to enjoy their new smile for years.

Service Image

 

Common Smile Design Procedures

Smile design isn’t a one-size-fits-all solution. It may involve one or several treatments, depending on the individual's needs. Here are some of the most common procedures included in smile design:

1. Teeth Whitening

Teeth whitening is a quick and non-invasive procedure that lightens the shade of natural teeth. Professional whitening treatments remove stains and discoloration caused by food, beverages, smoking, and aging, making the teeth brighter and more vibrant.

2. Dental Veneers

Dental veneers are thin porcelain or composite resin shells placed on the front surface of teeth to cover imperfections such as chips, gaps, discoloration, and minor misalignments. Veneers are custom-made to match the natural shape and color of teeth, providing a flawless, natural look.

3. Orthodontics (Invisalign or Braces)

Orthodontic treatments like Invisalign or braces are essential for aligning crooked or crowded teeth. Invisalign offers a discreet option using clear, removable aligners, making it popular for adults who prefer an inconspicuous approach to teeth straightening.

4. Dental Bonding

Dental bonding uses a tooth-colored resin to repair small chips, gaps, or discolorations. The material is applied to the teeth, shaped, and polished to blend seamlessly with the surrounding teeth. Bonding is a quick, affordable option for minor imperfections.

5. Gum Contouring

For individuals with an uneven gum line or a "gummy smile," gum contouring can reshape the gums to create a more proportionate and balanced look. This procedure removes excess gum tissue, exposing more of the teeth and enhancing the overall smile aesthetic.

6. Dental Crowns

Dental crowns, also known as caps, cover damaged or decayed teeth, restoring their shape, size, and strength. Crowns are custom-made and can be matched to the color of the natural teeth, improving both function and aesthetics.

7. Dental Implants

In cases of missing teeth, dental implants provide a permanent solution. Implants replace missing tooth roots with metal posts and support a crown to restore both the appearance and functionality of natural teeth.

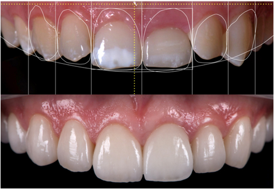
Digital Smile Design: A Modern Approach

Digital Smile Design (DSD) is a groundbreaking technology in cosmetic dentistry that allows patients to visualize their smile transformation before the actual procedures. DSD uses advanced software and imaging technology to create a digital representation of the smile, showing how various treatments will look once completed.

Service Image

 

Benefits of Digital Smile Design

Precise Planning:

DSD allows for meticulous planning, ensuring each aspect of the smile is considered and aligned.

Enhanced Communication

With DSD, patients can actively participate in the design process, ensuring their expectations are met.

Accurate Results:

DSD helps the dentist achieve precise results that align with the patient’s vision, reducing the need for revisions.

Digital Smile Design makes the process transparent, giving patients more confidence in their treatment.

Service Image

 

The Smile Design Process: Step-by-Step

The smile design process involves several stages to ensure the outcome meets the patient’s expectations:

Step 1: Initial Consultation

The first step is a consultation where the dentist assesses the patient’s dental and facial features. Photos, X-rays, and impressions may be taken to get a clear picture of the current smile.

Step 2: Digital Smile Simulation

Using software like Digital Smile Design, a digital mockup of the patient’s future smile is created. This allows patients to see the potential results before any treatments begin.

Step 3: Treatment Planning

After the digital mockup is reviewed and approved, the dentist creates a personalized treatment plan. This may include a combination of procedures such as whitening, veneers, or orthodontics.

Step 4: The Smile Makeover Procedure

Depending on the treatment plan, the smile makeover procedures are performed. Some treatments, like teeth whitening, can be done in a single visit, while others, like orthodontics or implants, may take several months to complete.

Step 5: Final Adjustments and Review

Once the treatments are complete, the dentist may make minor adjustments to ensure the final smile meets the patient’s expectations. Follow-up appointments help maintain the results over time.

Things to Consider Before Opting for Smile Design

  • Choosing the Right DentistSelecting an experienced cosmetic dentist with a strong portfolio and positive patient reviews is essential.
  • CostsSmile design can be an investment, with prices varying widely based on the complexity of treatments.
  • Long-term CommitmentSome procedures require maintenance or replacements over time, such as veneers or crowns.
  • Realistic ExpectationsWhile smile design can significantly enhance appearance, it’s essential to have realistic expectations about the results.

Service Image

 

Conclusion

Smile design is a transformative journey that blends art and science to create a smile that aligns perfectly with one’s facial features and personality. By choosing the right treatments, smile design enhances confidence, brings lasting beauty, and can even improve oral health. Whether you seek a subtle enhancement or a complete smile makeover, smile design can give you the smile of your dreams.

FAQ About Smile Design

Smile design is a customized cosmetic dental process that enhances the aesthetics of the smile, using treatments like veneers, whitening, orthodontics, and more.

Most smile design procedures are minimally invasive and use anesthesia if necessary, ensuring a comfortable experience.

The duration varies depending on the treatments included. Some procedures take one visit, while orthodontics or implants may take several months.

Costs depend on the complexity of treatments, geographical location, and the dentist’s expertise. A consultation can provide a more accurate estimate.

Smile design is usually considered elective and may not be covered by insurance. However, restorative treatments with functional benefits might have partial coverage.

Yes, many smile design procedures, like orthodontics and crowns, also enhance oral health by correcting misalignment and protecting damaged teeth.

Individuals with discolored, misaligned, chipped, or missing teeth who wish to improve their smile's appearance are ideal candidates for smile design.

Some treatments, like dental implants, are permanent, while others, like veneers, may require replacement over time.

Recovery depends on the treatment; simple procedures like whitening have no downtime, while surgical procedures like implants may need a few weeks.

Digital Smile Design (DSD) is a modern technique that uses software to create a digital preview of the smile, enabling precise planning and patient participation.